Diş Eti Tedavisi
Ankara Diş Eti Tedavisi ve Estetik Diş Hekimi Nurcan SARI
Ağız içindeki dişlerin çevresini saran, çene kemiğini kaplayan ve dişlerin sağlam bir şekilde tutunmasını sağlayan bağ dokusunu etkileyen hastalıkların tedavisi yapılmalıdır. Bu rahatsızlıklar genellikle genetik faktörlere değil, daha çok kişisel bakım alışkanlıklarına ve genel sağlık durumuna bağlı olarak ortaya çıkar.
Diş eti hastalıkları, ideal diş hijyeninin olmaması, düzenli diş kontrol ziyaretlerinin yapılmaması ve bunun sonucunda oluşan çürük dişler, yanlış dolgular, ve uyumsuz protezlerle ilişkilidir. Yanlış diş fırçalama alışkanlıkları, diş eti çekilmelerine ve kanamalara yol açabilir. Ayrıca, ağız sağlığını etkileyen genel hastalıklar, diş eti problemlerine neden olabilir. Bu hastalıklar arasında kalp rahatsızlıkları, tansiyon sorunları, diyabet, damar sertliği, ağız hastalıkları, böbrek rahatsızlıkları ve bulaşıcı hastalıklar bulunur.

Belirtiler ve Tedaviler:
- Diş eti kanamaları
- Diş eti büyümeleri ve renk değişiklikleri
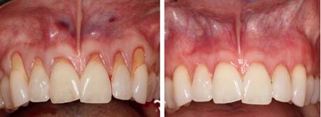
- Diş eti çekilmeleri ve çene kemiğinde erimeler
- Diş sallanmaları ve diş kayıpları
- Ağız kokusu
Bu belirtilerle karşılaşan bireylerde diş eti ve kemik kayıpları, protez ve implant uygulamalarını zorlaştırabilir. Diş eti hastalıkları, genel sağlığı tehdit ederek ağız enfeksiyonlarına yol açabilir. Bu nedenle, diş eti hastalıklarının doğru tedavi ile genellikle diğer sağlık sorunlarından korunabilir.
Tedavi Süreçleri:
- Ağız ve diş sağlığı bilgisinin oluşturulması ve düzenli kontrol
- Diş taşları ve plak oluşumlarının temizlenmesi
- Diş eti ceplerinin derin temizliği (Küretaj)
- Temizlik ve küretaj ile birlikte hekim tarafından önerilen ilaç tedavileri
İlerlemiş durumlarda, diş eti çekilmeleri ve kemik kayıplarını önlemek ve yeniden oluşmamasını sağlamak için periodontal cerrahi işlemler (Diş eti ameliyatları) uygulanabilir. Bu cerrahi ve mekanik tedaviler, geleneksel veya son teknoloji lazer uygulamalarını içerebilir. Lazer uygulamaları, az anestezi gerektirir, az kanama ile karakterizedir ve daha hızlı iyileşme sağlar, böylece hastanın daha az acı duymasını sağlar.


Diş Eti Hastalığına Neden Olan Faktörler:
- Sigara Kullanımı: Sigara, periodontal hastalıkların gelişimini hızlandıran bir faktördür.
- Genetik Yatkınlık: Yaklaşık %30’luk bir oranla nüfusun genetik olarak dişeti hastalıklarına yatkınlığı vardır.
- Hormonal Değişiklikler: Ergenlik, menstrüasyon, gebelik ve menopoz gibi hormonal değişiklikler diş etlerini etkileyebilir.
- Stres: Vücuttaki savunma sistemini zayıflatarak periodontal hastalıklara zemin hazırlar.
- İlaç Kullanımı: Bazı ilaçlar ağız sağlığını etkileyebilir.
- Diş Gıcırdatma: Diş sıkma veya gıcırdatma dişlere ve çevre dokulara zarar verebilir.
- Diyabet: Diyabet, periodontal hastalıklara eğilimi artırabilir.
- Kötü Beslenme: Sağlıksız beslenme, periodontal hastalıklara neden olabilir.
- Sistemik Hastalıklar: Bağışıklık sistemini etkileyen hastalıklar diş etlerini etkileyebilir.
Bu nedenlerle, diş eti sağlığının korunması için düzenli diş kontrolleri, doğru hijyen alışkanlıkları ve sağlıklı bir yaşam tarzı önemlidir.
Yorum ve Sorularınız